Oncology Applications
Tumor Identification Orthotopic


Glioblastoma Tumor Mode


Glioblastoma Tumor contrast Enhanced MRI

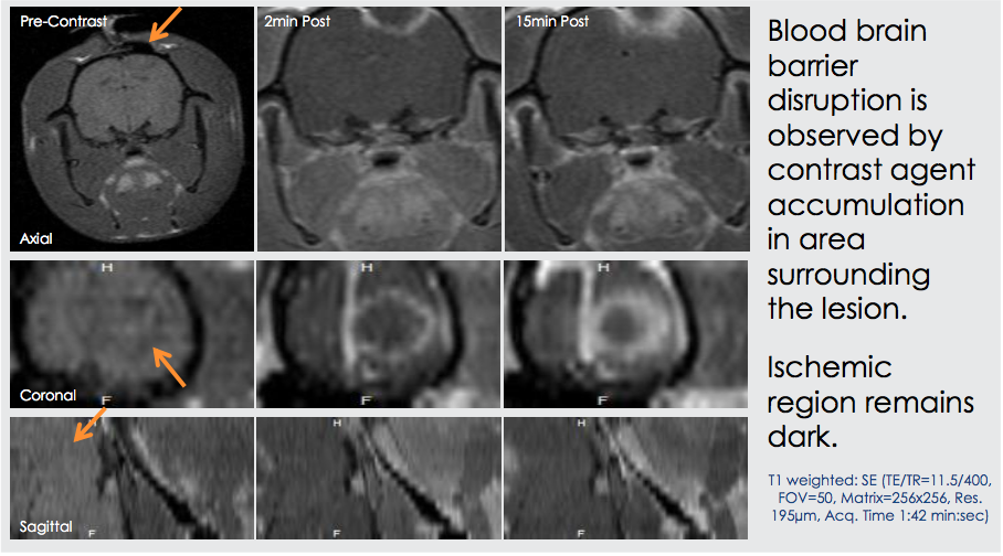
Blioblastoma Tumor Dynamic Contrast Enhanced MRI



Tumor Volume Quantification Orthotopic Patient-Derived Cervical Tumor

